How to Edit AI detections
While Pearl’s AI uses advanced computer vision to highlight areas of clinical interest, you remain in full control of the diagnosis and treatment decisions. If you disagree with an AI detection (whether a false positive or a false negative), you have several tools available to manually edit and refine the findings.
How to Modify AI Detections
- Remove a Detection
-
- Hover over the pathology you want to remove.
- Click the eye icon to hide the detection from view.

Useful when the AI highlights an area that does not require clinical attention.
- Restore a Removed Detection
-
- If you remove a detection by mistake, simply click the eye icon again to restore it.

- Manually Add a Detection
-
- Select the Edit Tool.
- Choose your preferred shape:
- Draw a square
- Draw a polygon

Polygons allow more precise marking for certain conditions like caries and periapical radiolucencies.
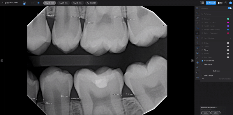
Editing Bone Measurements
In addition to adjusting detections, you can also edit bone measurements to achieve a more precise analysis of periodontal health:
- Select the Bone Measurement Edit Tool.
- Adjust measurement points to better reflect actual bone levels observed on the radiograph.

Important Notes
- All edits are saved automatically and will persist for future review of the same images.
- Your clinical judgment is always the final authority. AI serves as a tool to assist, not replace, your expertise.